ENDOMETRIOZA
Seria USG w 5 minut! Endometrioza (ang. endometriosis) to choroba wywodząca się żeńskiego układu rozrodczego. Definiuje się ją jako obecność funkcjonalnego endometrium poza właściwą jamą macicy. Wywołana jest przemieszczeniem się z macicy poprzez drożne jajowody do wnętrza jamy otrzewnowej lub innych odległych narządów tkanki aktywnego endometrium. Inna teoria głosi, iż ogniska endometriozy mogą powstawać na tle metaplazji z pozostałości przewodu Müllera w miednicy. Choroba diagnozowana jest najczęściej w III dekadzie życia.
Makroskopowo endometrioza przyjmować może różnorodne formy morfologiczne. Endometrioza powierzchowna cechuje się powstawaniem guzków lub płaskich nacieków na powierzchni narządów miednicy i jamy otrzewnowej. Endometrioza głęboka charakteryzuje się głębokim naciekaniem do struktur przestrzeni pozaotrzewnowej, powłok brzucha oraz narządów miednicy; a przyjmuje m. in. takie formy jak guzki, torbiele, deformacje i skaryfikacje. W jamie otrzewnowej może przybierać również postać zwłóknień i zrostów. Z kolei w układzie rozrodczym w jajnikach przyjmuje formę tzw. torbieli czekoladowej, a w ścianie macicy adenomyozy. Najczęstsze lokalizacje endometriozy obejmują jajniki, otrzewną miednicy mniejszej, zatokę Duglasa, więzadło maciczno-krzyżowe, blizny po cięciu cesarskim.
Biorąc pod uwagę powyższe względy spektrum objawów endometriozy bywa różnorodne. Najczęściej obejmuje takie symptomy jak bóle okolicy miednicy powiązane z miesiączką, bóle podczas stosunku płciowego, obniżenie płodności / bezpłodność; czasem zaparcia i inne objawy powiązane bezpośrednio z nacieczoną tkanką / narządem.
Endometrioza – metody diagnostyczne. Pierwszą linią diagnostyki endometriozy jest staranny wywiad oraz badania obrazowe w postaci USG transwaginalnego, USG przezbrzusznego oraz rezonansu magnetycznego MRI. Kombinowana czułość i specyficzność obu metod, tj. USG i MRI, sięga 90 %. Kolejnym etapem jest laparoskopia, która wykorzystywana jest zarówno jako procedura diagnostyczna, jak i lecznicza. W wyselekcjonowanych przypadkach endometriozy przydatne może być także badanie USG z kontrastem CEUS; np. do oceny zajęcia moczowodu.
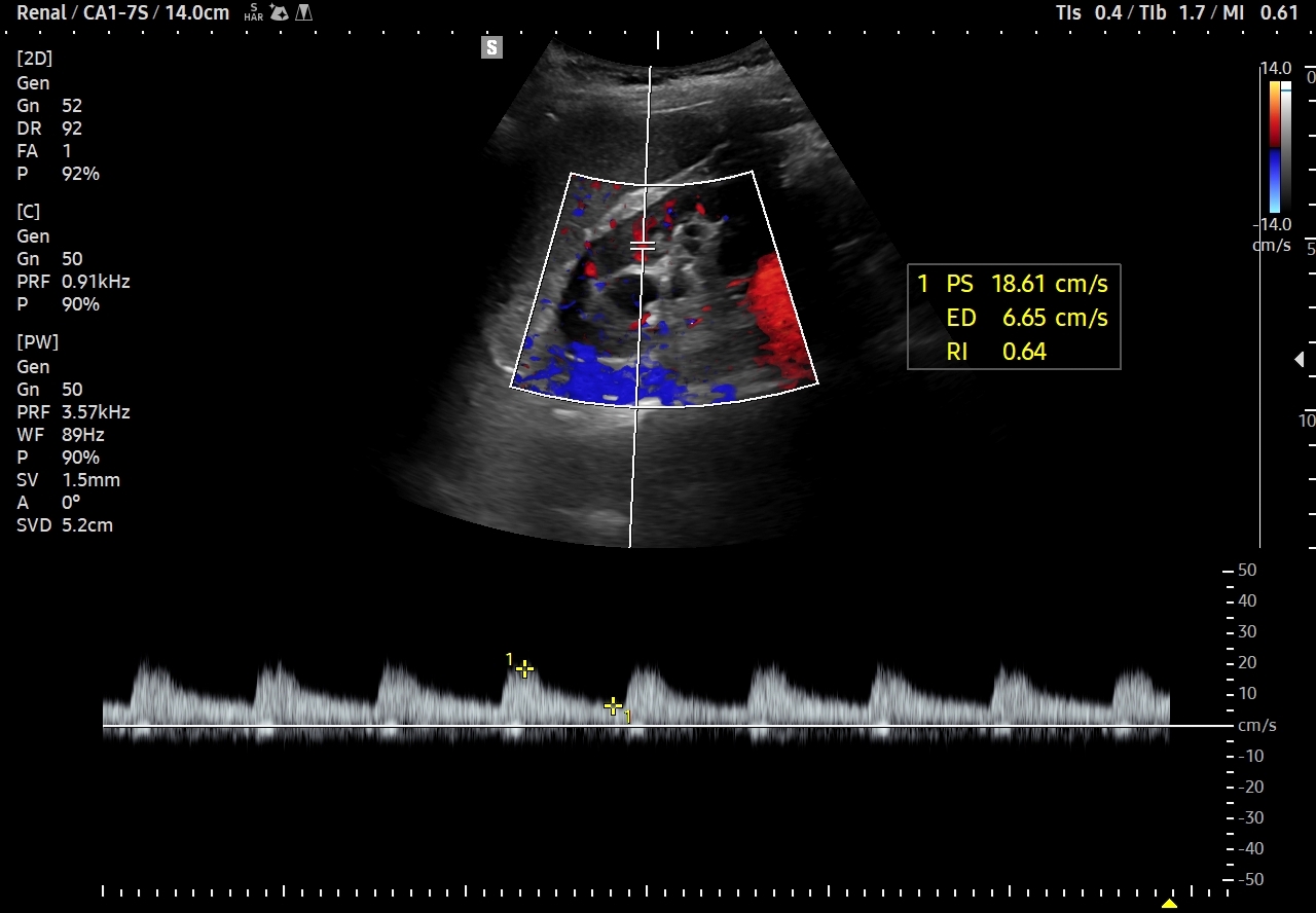
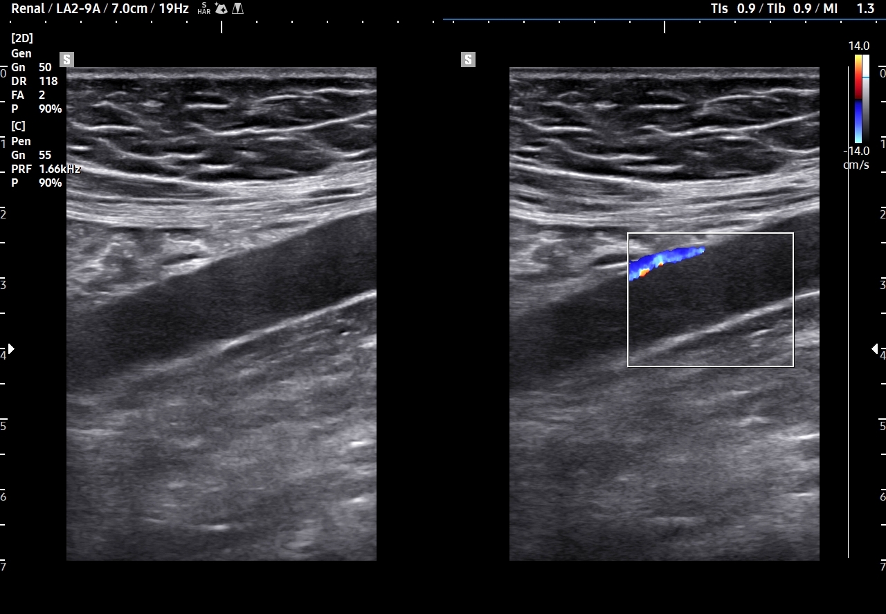
W badaniu USG ogniska endometriozy zwykle przyjmują formę hypoechogennych guzków i nieregularnych mas; mogą być niejednorodne echogenicznie i zawierać drobne obszary torbielowate; w trybie color-Doppler i MVI wykazują skąpe unaczynienie.
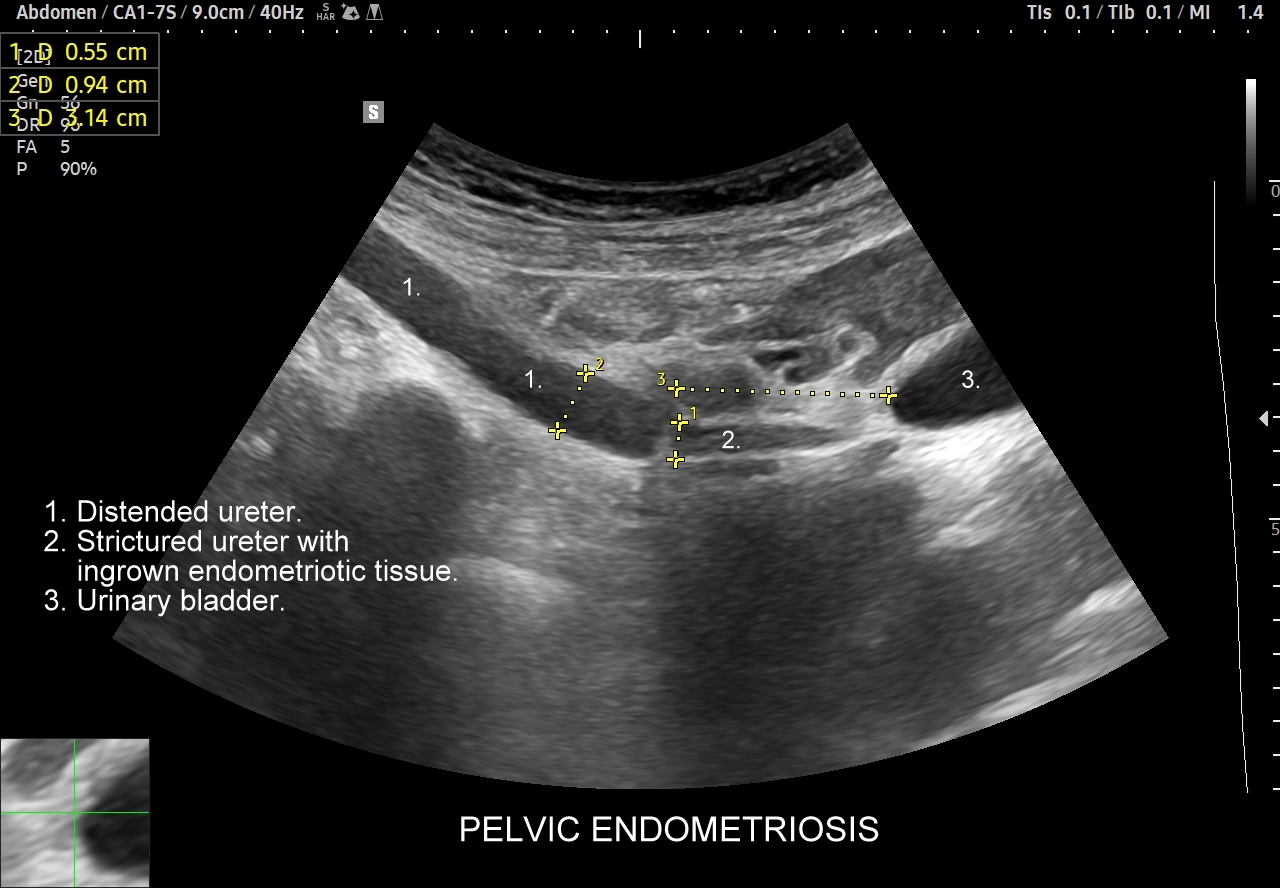
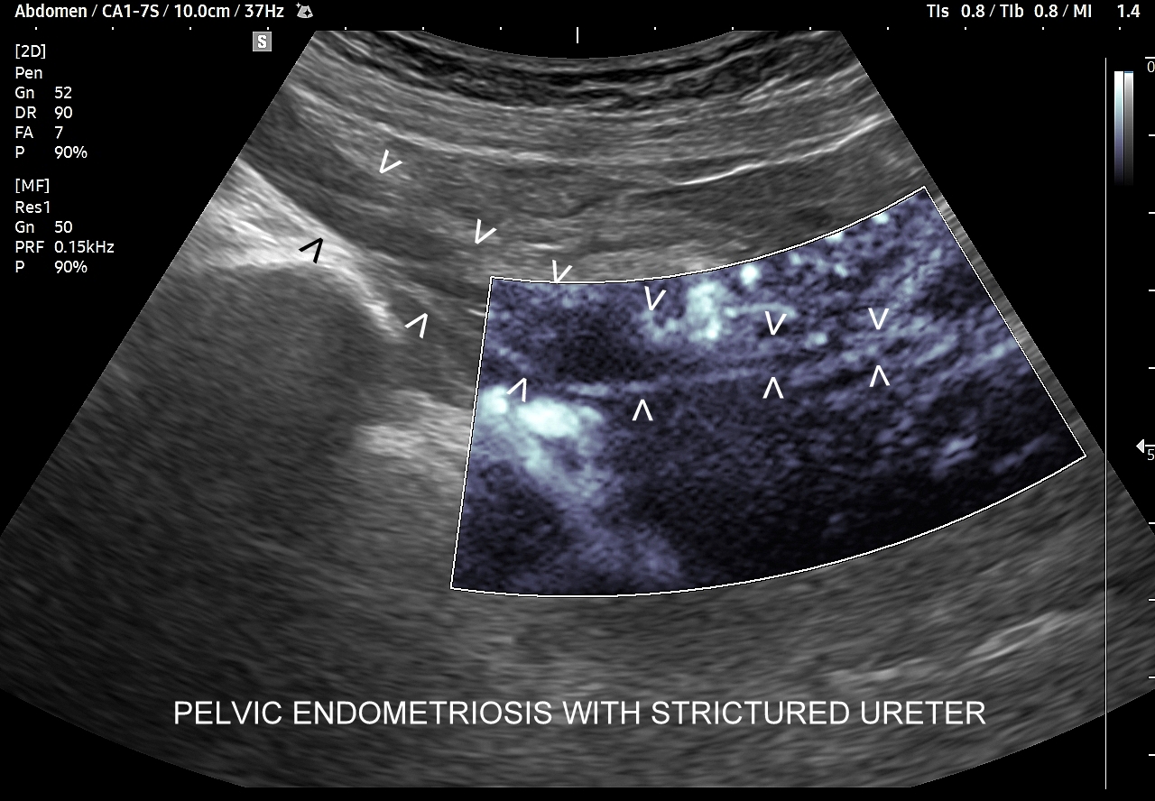
Na skanach w niniejszym artykule zaprezentowany jest przypadek endometriozy głębokiej w miednicy mniejszej z intraluminalnym nacieczeniem dystalnego odcinka moczowodu, jego całkowitą niedrożnością i wtórnym wodonerczem. Choroba w tak zaawansowanym stadium wykryta została przypadkowo w rutynowym przezbrzusznym badaniu USG jamy brzusznej. W ramach diagnostyki różnicowej przeprowadzone zostały badanie CT, MRI oraz ureterocystoskopia z pobraniem materiału do badania histopatologicznego, na podstawie którego postawiono rozpoznanie endometriozy.
W leczeniu endometriozy wykorzystuje się postępowanie farmakologiczne, w tym zastosowanie danazolu (syntetycznego androgenu), analogów GnRH, doustnych leków antykoncepcyjnych; a także leczenie chirurgiczne. Postępowanie zabiegowe zależy od formy, lokalizacji i zasięgu choroby. W prezentowanym przypadku pacjentkę zakwalifikowano do interdyscyplinarnej operacji obejmującej m. in. histerektomię z nefrektomią.
Endometrioza potrafi być chorobą bardzo dokuczliwą, dlatego poznawajmy ją i uczmy się ją rozpoznawać. Więcej o diagnostyce guzów jamy brzusznej dowiedzą się Państwo z innych artykułów bazy wiedzy Cedum ® oraz podczas Kursu Interdyscyplinarne Badanie USG Obszaru Brzucha.
Autor: Tomasz Szczepański MD
Dla lekarzy KURS INTERDYSCYPLINARNE USG OBSZARU BRZUCHA >
Gdzie wykonać BADANIE USG JAMY BRZUSZNEJ >
Zawartość serwisu cedum.pl jest chroniona prawem autorskim.
