NACZYNIAK WĄTROBY
Seria USG w 5 minut! Łagodne zmiany ogniskowe wątroby wykrywane są w USG nawet u 15% badanych. Wśród łagodnych litych guzów naczyniak wątroby (ang. hepatic hemangioma) jest najczęściej spotykana jednostką. Naczyniaki występować mogą również w innych obszarach ciała, w tym w powłokach, na błonach śluzowych, w pozostałych narządach wewnętrznych, w mózgu, czy w układzie ruchu.
Naczyniaki występują w dwu zasadniczych formach: naczyniaki włośniczkowe i naczyniaki jamiste. Naczyniak włośniczkowy (ang. capillary hemangioma) histologicznie jest zbudowany z drobnych, cienkościennych skupisk naczyń przypominających naczynia włosowate, ze skąpą ilością tkanki łącznej pomiędzy nimi. Naczyniaki są nieotorebkowane. Ze względu na kręty i wolny przepływ krwi naczynia w naczyniaku mogą spontanicznie wykrzepiać. Naczyniak jamisty (ang. cavernous hemangioma) histologicznie cechuje się tworzeniem jamistych kanałów naczyniowych; zawiera niewielką ilość tkanki łącznej. Naczynia w nim mogą wykrzepiać, pękać i krwawić.
Prawdopodobieństwo wykrzepiania naczyniaka lub jego pęknięcia jest powiązane proporcjonalnie z jego rozmiarem. Duże naczyniaki, które uległy wykrzepieniu lub krwawieniu mogą ulegać zmianom degeneracyjnym takim jak włóknienie, zwyrodnienie torbielowate, czy powstawanie zwapnień, co z kolei ma odzwierciedlenie w obrazie sonograficznym.
Ze względu na częste występowanie naczyniaków w wątrobie wyjątkowo istotna jest specjalistyczna wiedza i umiejętność ich diagnozowania oraz różnicowania w kontekście innych zmian ogniskowych wątroby, w tym złośliwych.
W badaniu USG w prezentacji B w niestłuszczonej wątrobie typowy naczyniak włośniczkowy lokalizuje się w pobliżu gałęzi żyły wątrobowej, a prezentuje się jako ostrookonturowana, hyperechogenna, jednorodna, krągła lub owalna zmiana ogniskowa. Ze względu na niską prędkość przepływu krwi i wynikające z tego ograniczenie detekcji w trybie color-Doppler w naczyniaku nie rejestruje się sygnału. Z kolei w trybie mikrounaczynienia (MVI / MVF) w zależności od czułości aparatury w naczyniaku można zaobserwować delikatny sygnał w postaci „poprószonego śniegu”.
W przypadku zarejestrowania w obrębie hyperechogennej zmiany ogniskowej wątroby w trybie kolorowego Dopplera lub Dopplera mocy (ang. power Doppler) drobnego naczynia lub naczyń, w szczególności krętych i o nieregularnym przebiegu, należy brać pod uwagę prawdopodobieństwo obecności złośliwej zmiany metastatycznej lub innego rodzaju zmiany ogniskowej.
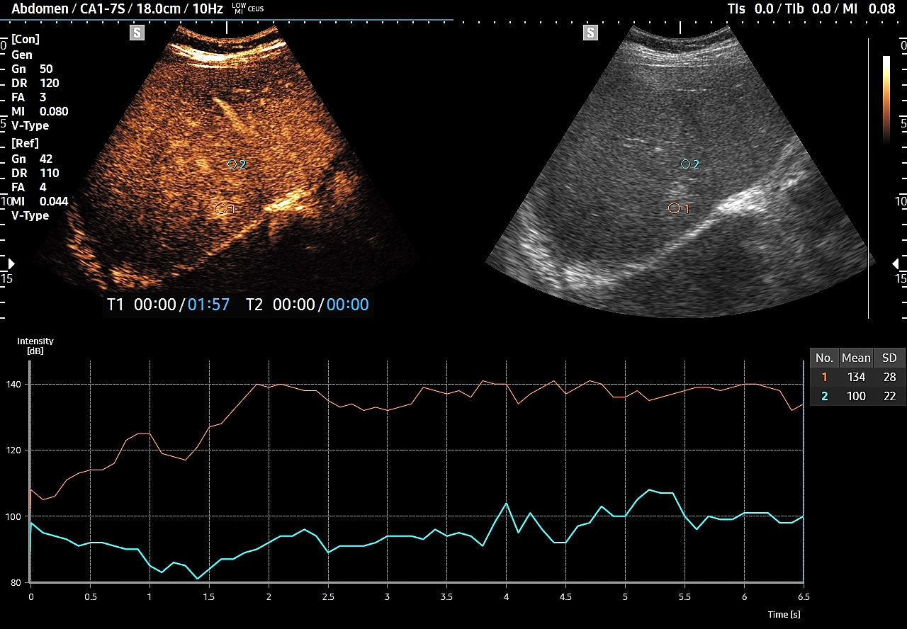
Naczyniaki duże, tj. powyżej 2-3 cm, mogą mieć strukturę niejednorodną echogenicznie, w tym obszary hypoechogenne. Spotyka się także naczyniaki o charakterystyce normo- lub hypechogenicznej, w szczególności w wątrobie stłuszczonej. Z powyższych względów należy mieć na uwadze i zapamiętać, że badanie USG w podstawowym trybie B nie jest wystarczające do postawienia rozpoznania naczyniaka wątroby. W ramach obrazowej diagnostyki różnicowej najbardziej pomocnym jest badanie USG z kontrastem (CEUS), w którym to naczyniak wątroby posiada charakterystyczny wzorzec wypełnienia.
Najbardziej charakterystyczną cechą naczyniaka wątroby w badaniu CEUS jest jego wypełnianie w postaci guzkowej (ang. peripheral nodular enhancement) od obwodu ku centrum zmiany (ang. centripetal). Szybkość wypełniania bywa różnorodna, może być powolna lub szybka. W przypadku szybkiego wypełniania (tzw. flash-filling), w celu wykazania charakterystycznego centrypetalnego wypełniania niezbędna może być postprocessing’owa analiza poklatkowa zapisanego nagrania badania. W fazie późnej naczyniak wątroby pozostaje izowzmocniony lub hyperwzmocniony w stosunku do natywnego miąższu wątroby.
W przypadku dużych naczyniaków obszary, które uległy wykrzepianiu pozostają awaskularne przez wszystkie fazy badania CEUS, tj. nie wypełniają się kontrastem (nonenhancing). W przeciwieństwie do powyższego konstelacja, w której to w fazie wczesnej pojawia się wzmocnienie, a następnie w fazie wrotnej lub późnej ulega wypłukaniu (hypoenhancement) świadczy o cechach złośliwych diagnozowanej zmiany ogniskowej w wątrobie i wyklucza rozpoznanie naczyniaka.
W razie braku pewności co do wypełnienia guzka w stosunku do natywnego miąższu wątroby, tj. słabo dostrzegalnych wizualnie różnic, pomocne może być wykorzystanie w ramach obróbki postprocessing’owej ilościowej oceny wypełnienia kontrastem poszczególnych obszarów, tj. guzka i prawidłowego miąższu, w ramach analizy TIC (ang. time intensity curve). Metoda ta polega na umieszczeniu jednego znacznika w zmianie ogniskowej, drugiego w kolejnym obszarze, a następnie porównania ich obu pod kątem intensywności sygnału na osi czasu.
Diagnostyka zmian ogniskowych w wątrobie winna być kompleksowa, a obejmować staranny wywiad lekarski, badanie przedmiotowe, badania obrazowe właściwego guzka podstawowe (np. USG) i weryfikujące (np. CEUS, MRI), badania laboratoryjne, a w razie potrzeby powinna być rozszerzona o obrazowy screening onkologiczny w zależności od kontekstu chorobowego w postaci np. USG szyi, badania laryngologicznego, TK klatki piersiowej, mammografii, USG piersi, CT jamy brzusznej, gastroskopii, kolonoskopii, USG-TV, cytologii szyjki macicy.
Podsumowanie. Najczęstszą formą sonograficzną łagodnego naczyniaka wątroby jest ognisko hyperechogenne, ale podobną formę przyjmuje również wiele złośliwych zmian metastatycznych. Naczyniak wątroby może przyjmować także formę zmiany niejednorodnej echogenicznie, jak i hypoechogennej. Podstawowe badanie USG w trybie B nie ma możliwości jednoznacznego rozpoznania naczyniaka. Pierwszorazowo wykryte hyperechogenne zmiany ogniskowe w wątrobie muszą być zawsze zweryfikowane w badaniu uzupełniającym, np. CEUS.
Naczyniak wątroby jako najczęściej spotykany w USG łagodny guz lity wątroby jest szczegółowo omawiany w trakcie Kursu USG / MPUS obszaru brzucha prowadzonego w ramach Cedum ®.
Autor: Tomasz Szczepański MD
Dla lekarzy KURS USG / MPUS OBSZARU BRZUCHA >
Zawartość serwisu cedum.pl jest chroniona prawem autorskim.
