USG jamy brzusznej

USG jamy brzusznej Wrocław, USG jamy brzusznej, USG jamy brzusznej prywatnie

USG jamy brzusznej Wrocław

Nowoczesna diagnostyka ultrasonograficzna

Badanie USG jamy brzusznej klasyczne, jak również nowoczesne, rozszerzone multiparametryczne badanie MPUS obszaru brzucha wykonają Państwo w ramach prowadzonej od 2011 r. przez dr Tomasza Szczepańskiego Interdyscyplinarnej Pracowni Ultrasonograficznej we Wrocławiu. Służymy pomocą w przypadku wystąpienia bólów i dyskomfortu w obszarze brzucha, uzupełnienia diagnostyki gastrologicznej, potrzeby oceny narządów wewnętrznych, czy wykonania USG wątroby, USG trzustki, USG nerek, USG przewodu pokarmowego i innych organów brzucha. Badania wykonujemy u dzieci oraz u dorosłych.

 

Obecnie Pracownia w trakcie reorganizacji i zmiany lokalizacji. Do momentu ponownego uruchomienia prosimy o umawianie wizyt za pośrednictwem portalu ZNANYLEKARZ > 

Czym jest USG jamy brzusznej

Klasyczne badanie USG jamy brzusznej obejmuje ocenę obrazową narządów wewnętrznych i struktur obszaru brzucha takich jak wątroba, pęcherzyk żółciowy i drogi żółciowe, trzustka, śledziona, nerki, pęcherz i drogi moczowe, gruczoł krokowy, macica, jajniki, przewód pokarmowy, wewnątrzbrzuszne węzły chłonne, przestrzeń zaotrzewnowa oraz naczynia jamy brzusznej. Badanie to jest podstawowym elementem procesów diagnostycznych w różnorodnych dziedzinach medycyny takich jak gastrologia, hepatologia, hematologia, endokrynologia, nefrologia, angiologia, chirurgia, urologia, czy ginekologia.

Badanie multiparametryczne MPUS jamy brzusznej

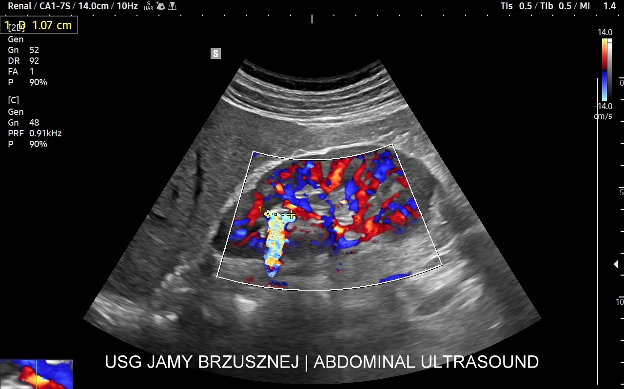
Rozwinięciem standardowego badania USG jamy brzusznej jest badanie multiparametryczne MPUS (ang. multiparametric ultrasound), w ramach którego wykorzystuje się różnorodne, nowoczesne modalności sonograficzne, takie jak tryby mikrounaczynienia MVI, B-flow, elastografię, ilościową ocenę stłuszczenia wątroby QUS, czy tryb Dopplera spektralnego, a to wszystko w celu uzyskania dodatkowej oceny funkcjonalnej i biologicznej struktur, narządów oraz tkanek jamy brzusznej. Obrazowanie MPUS niejednokrotnie poprawia także wizualną ocenę narządów wewnętrznych, czego przykładem jest zastosowanie trybu MVI w ramach bezkontrastowej angiografii sonograficznej naczyń oraz w ocenie guzów nerek. Klasycznymi i najczęstszymi zastosowaniami badania MPUS są jednakże funkcjonalna ocena wątroby w kierunku stłuszczenia, zwłóknienia, zapalenia i nadciśnienia wrotnego, a także ocena żywotności i funkcji nerek. 

Wskazania do USG jamy brzusznej

USG jamy brzusznej jest kluczową metodą diagnostyczną w przypadku wystąpienia różnorodnych dolegliwości ze strony brzucha, np. zgagi, bólu, kolki, dyskomfortu, wzdęcia, zwiększenia obwodu brzucha. Badanie wykonywane jest przy podejrzeniu kamicy pęcherzyka żółciowego, kamicy nerkowej, a także w przypadku pojawienia się utraty apetytu, utraty masy ciała, zmęczenia, anemii, żółtaczki, nadciśnienia tętniczego, czy obrzęków. U dzieci badanie USG brzucha wykonuje się m.in. w przypadku podejrzenia odpływów nerkowych, zakażenia układu moczowego, przedwczesnego dojrzewania płciowego, zaparć, czy żółtaczki. Wskazania do wykonania badania są bardzo szerokie, służymy pomocą, gdy potrzebują Państwo USG jamy brzusznej Wrocław.

Przygotowanie do USG jamy brzusznej

W celu optymalnej oceny narządów jamy brzusznej u dorosłych i starszych dzieci badanie powinno być przeprowadzone najlepiej rano oraz na czczo, po kilkudniowej lekkiej i niewzdymającej diecie. Prosimy, aby rano przed badaniem nie spożywać płynów za wyjątkiem dosłownie kilku łyków niegazowanej wody. Spożycie płynów, a wraz z nimi połykanie powietrza, istotnie utrudnia ocenę narządów nadbrzusza. Butelkę z niegazowaną wodą proszę jednak ze sobą zabrać. W trakcie badania lekarz zadecyduje, czy należy przyjąć porcję wody. Zażywanie Espumisanu przed badaniem nie jest obowiązkowe.

W przypadku stanów nagłych i ostrych rezygnuje się z długotrwałego przygotowania pacjenta na rzecz pilnego wykonania badania USG, w szczególności w sytuacji wystąpienia nasilonego bólu brzucha sugerującego poważne schorzenia takie jak tętniak rozwarstwiający, niedrożność jelit, zapalenie trzustki, kolka nerkowej, czy kolka żółciowa.

Ważne jest, aby zgłaszając się na wizytę zabrać ze sobą wyniki poprzednich badań USG, a także innych badań obrazowych jak tomografia komputerowa, rezonans magnetyczny, czy urografia. Dostarczenie wcześniejszych opisów lub zdjęć USG ułatwi badającemu lekarzowi interpretację ewentualnych nieprawidłowości, całościową ocenę oraz zwiększy wartość badania USG jamy brzusznej. W przypadku badania USG jamy brzusznej u dzieci młodszych prosimy o przybycie do przychodni nieco wcześniej, aby dziecko zapoznało się z otoczeniem.

USG jamy brzusznej cena a wartość

Czym kierować się przy wyborze placówki i przy rejestracji na badanie USG jamy brzusznej Wrocław? Ceną czy wartością? Badanie wysokiej wartości to takie, podczas którego uzyskuje się dużą ilość informacji istotnych klinicznie, co w rezultacie umożliwia podejmowanie trafnych i opartych na obiektywnych danych decyzji medycznych. Jakie czynniki wpływają na wartość badania, w szczególności badania USG jamy brzusznej?

  • Doświadczenie kliniczne i praktyczne kadry lekarskiej wykonującej badanie USG.
  • Aparatura, która odzwierciedlała nowoczesną technologię umożliwiająca zaawansowane obrazowanie wizualne oraz ocenę funkcjonalną badanych narządów. Urządzenia USG zawierać powinny odpowiednie oprogramowanie i dysponować szerokim zakresem głowic dostosowanych do badanego pacjenta i struktur anatomicznych. Warto mieć również na uwadze, iż określenie najnowszy aparat nie jest tożsame z najnowszą technologią!
  • Możliwość rozszerzenia zakresu badania USG w razie wystąpienia konieczności. Praktycznymi przykładami są zastosowanie trybu MVI w przypadku wykrycia guzka w nerce, czy przeprowadzenie badania elastograficznego i dopplerowskiego w wypadku stwierdzenia nieprawidłowego obrazu wątroby.
  • Optymalne przygotowanie pacjenta do badania; omówione wcześniej. 
  • Odpowiednio długi lub elastyczny czas przeznaczony na badanie USG, który umożliwi nieskrępowaną ocenę organów pacjenta.

Rekomendacje | USG jamy brzusznej Wrocław

USG jamy brzusznej dziecka | Do Pana Doktora trafiliśmy z polecenia jako zaangażowanego specjalisty w dziedzinie USG. Mieliśmy problem z córką i wiele obaw, jak to rodzice… Wizyta była dłuższa niż planowano, USG było bardzo dokładne i wykonywane w dużym skupieniu. Nasz problem okazał się mniejszy niż się wydawał, a zastosowane leczenie przyniosło oczekiwane rezultaty. Dziękujemy! Przemysław S. | Wrocław 

USG wątroby | Miałam dużo szczęścia, że parę lat temu „natknęłam” się na placówkę Golden Care i doktora Tomasza Szczepańskiego. Po wizycie na ostrym dyżurze w szpitalu i z zaleceniem zrobienia „gdzieś” pilnie USG (noc z piątku na sobotę) zadzwoniłam do Golden Care (jeszcze przy ul. Kukuczki). Dzięki paniom na recepcji zostałam natychmiast przyjęta przez doktora Szczepańskiego. Dokładnie przebadana, z pełną dokumentacją i skierowaniem przekazana do szpitala, przeszłam zabieg, który uratował mi życie. Czasu było bardzo mało. Wiem co zawdzięczam panu doktorowi… Halina H. | Wrocław

USG jamy brzusznej | USG zawsze wykonane z wielką dokładnością i starannością. Pan Doktor z dużą cierpliwością i wspaniałym podejściem do dziecka, które miało zaledwie kilka tygodni, jak musiało być wykonane pierwsze USG. Sama USG jamy brzusznej dwukrotnie również robiłam u Pana Doktora i zawsze wszystko wytłumaczone, pokazane. Pan Doktor posiada ogromna wiedze i empatię. Zawsze dokładny i staranny w trakcie badania, jak w opisie. Agnieszka N. | Wrocław

USG jamy brzusznej | Wizyta przebiegła bardzo sprawnie i profesjonalnie, a Pan doktor cierpliwie wysłuchał wszystkich moich dolegliwości. USG zostało wykonane bardzo dokładnie wraz z dokładnym omówieniem badania. Otrzymałem też praktyczne wskazówki dotyczące dalszego leczenia i profilaktyki. Pan doktor także odpowiadał cierpliwie na wszystkie moje pytania, co świadczy o jego profesjonalizmie i podejściu do pacjenta. Zdecydowanie polecam. Paweł B. | Wrocław

USG jamy brzusznej | Jestem bardzo zadowolona z wizyty! Lekarz wykazał się dużą empatią i profesjonalizmem. Podczas USG jamy brzusznej dokładnie wszystko wyjaśniał, dzięki czemu czułam się spokojnie i bezpiecznie. Badanie przebiegło sprawnie, bez stresu. Na pewno wrócę, jeśli zajdzie taka potrzeba. Julia J. | Wrocław

USG jamy brzusznej | Z usług Kliniki Golden Care (opinia z czasu, gdy placówką kierował dr Szczepański) miałam przyjemność korzystać kilka razy (kompleksowe USG jamy brzusznej, badania laboratoryjne, kolonoskopia, gastroskopia, konsultacje). Za każdym razem spotkałam się z profesjonalnym podejściem całego personelu placówki. Polecam. Anna K. | Wrocław

 

USG jamy brzusznej Wrocław | USG jamy brzusznej prywatnie | USG brzucha Wrocław

Wykonujący badanie

Dr Tomasz Szczepański

Specjalista chorób wewnętrznych. Pionier nowoczesnej i zaawansowanej diagnostyki USG w Polsce. Dydaktyk i nauczyciel. Wprowadził do rutynowego zastosowania takie badania jak multiparametryczne badania USG jamy brzusznej, czy badania USG z kontrastem. Posiada ponad 25-letnie doświadczenie kliniczne oraz staż szkoleniowy w Polsce oraz zagranicą (Wielka Brytania, Niemcy, Austria, Włochy). Certyfikowany lekarz Polskiego Towarzystwa Ultrasonograficznego z zakresu badań naczyniowych. Wykonał ponad 40.000 badań USG u dzieci i u dorosłych. Dr Szczepański zajmuje się zaawansowaną diagnostyką chorób wątroby, trzustki, nerek, jelit i narządów jamy brzusznej.

Formularz kontaktowy

* pola oznaczone gwiazdką są obowiązkowe