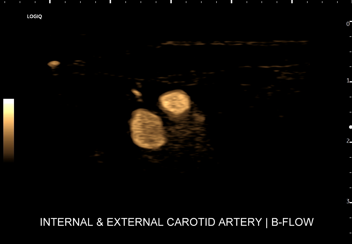
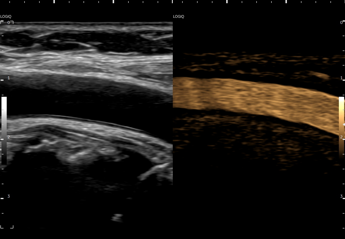
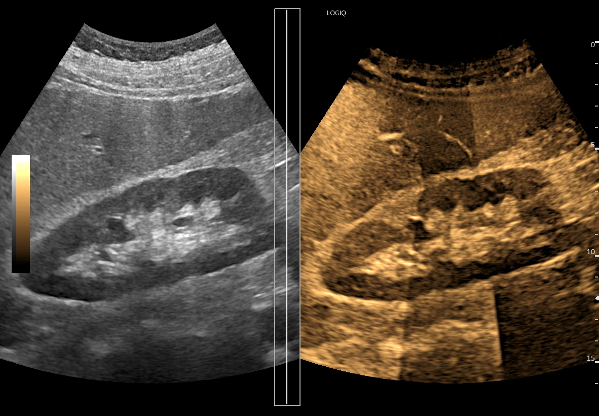
TRYB B-FLOW
Tryb B-flow to modalność obrazowania w ultrasonografii, która dostępna jest w aparatach firmy GE. Oparta jest o technologię polegającą na selektywnym wzmacnianiu sygnału poruszającego się obiektu i jednoczesnej supresji sygnału z obiektów stacjonarnych. W związku z powyższym metoda może być wykorzystywana do obrazowania płynącej krwi, zarówno w naczyniach dużych, jak i w naczyniach mikrokrążenia, a także poruszających się tkanek i materiałów litych.
Omawiana modalność nie jest oparta o fizyczne zjawisko Dopplera. W związku z tym nie jest zależna od kąta poruszającej się krwi (!), nie dostarcza informacji o prędkości ani o kierunku poruszania się skanowanej tkanki; nie obserwuje się w niej również typowych dla Dopplera artefaktów w postaci aliasingu, szumu oraz rozkwitania (blooming). Z kolei podobnie jak w podstawowej prezentacji czarno-białej (tryb B) w prezentacji B-flow występują artefakty oparte o zjawisko rewerberacji.
W przypadku obrazowania naczyń w mikrokrążeniu autor niniejszego artykułu najczęściej wykorzystuje tryb B-flow do oceny morfologii i grubości kory nerki oraz do oceny neowaskulatury zmian nowotworowych i zapalnych. W wymienionych zastosowaniach w obszarze badania mikrokrążenia tryb B-flow w urządzeniach GE cechuje się lepszą czułością aniżeli tryb mikrounaczynienia MVI w aparatach tegoż producenta (stan na rok 2025).
Tryb B-flow wyjątkowo korzystnie sprawdza się także przy badaniu wnętrza dużych i średnich naczyń. Otóż umożliwia on pewne zobrazowanie drożności naczynia, umożliwia wykazanie obecności / lokalizacji naczynia przy niesprzyjających warunkach obrazowania w trybie B, a poza tym uzyskiwane w omawianym trybie obrazy zarysów błony wewnętrznej naczyń (np. tętniczych blaszek miażdżycowych, skrzeplin przyściennych, zmian w przebiegu dysplazji włóknisto-mięśniowej, czy zapaleń tętnic) charakteryzują się wysoką rozdzielczością i kontrastowością. Skany dużych naczyń w trybie B-flow przypominają wręcz te uzyskiwane w klasycznej angiografii opartej o promieniowanie rentgenowskie. B-flow wykorzystywany może być praktycznie i rutynowo do obrazowania naczyń szyi i kończyn, naczyń wątroby, naczyń trzewnych, nerkowych oraz dużych naczyń brzusznych.
Oprócz zastosowań stricte naczyniowych tryb B-flow znajduje zastosowanie przy poprawie obrazowania struktury narządów wewnętrznych i ich zarysów. Otóż wykorzystując zasady powstawania obrazu w tym trybie, tj. generowanie silnego sygnału, który odpowiada poruszającemu się elementowi, przy implementacji delikatnych acz zdecydowanych ruchów głowicą USG, w ruch można wprawić cały narząd lub grupę sąsiadujących struktur, przez co możliwe staje się stworzenie obrazów struktur miąższowych oraz całych narządów. Jednocześnie stosując odpowiednio intensywny ruch litych struktur tkankowych można niejako oszukać software, tj. oprogramowanie aparatu dokonuje supresji sygnału poruszającej się krwi, przez co uzyskuje się obraz danego narządu o znacznie większej kontrastowości i szczegółowości aniżeli w podstawowym obrazowaniu w skali szarości (w trybie B).
Podsumowując, omawiany tryb B-flow jest prostą w zastosowaniu modalnością USG, która poprawia i uzupełnia w urządzeniach firmy GE obrazowanie zarówno podstawowego trybu w skali szarości (B-mode), jak i naczyniowe tryby typu color-Doppler, czy power-Doppler. Charakteryzuje się przy tym mnogością różnorodnych zastosowań.
ZOSTAŃ MECENASEM i ODBIERZ RABAT NA KURS. Wesprzyj działalność dydaktyczną i powstawanie kolejnych artykułów z zakresu diagnostyki USG w bazie wiedzy Cedum ®. Wyślij donację Blik na numer +48 537 978 239 i uzyskaj dużą zniżkę na Kurs USG Cedum ®. Po wysłaniu donacji zapisz się na wybrany przez siebie Kurs poprzez formularz kontaktowy dostępny na jego dedykowanej stronie>, następnie potwierdź uczestnictwo w ciągu 28 dni kalendarzowych i skorzystaj z wybranego kursu lub kursów w ciągu od 2 do 12 miesięcy od momentu wysłania donacji. Rabaty liczone są od ceny bazowej danego kursu. Rabaty nie sumują się.
- Donacja 50 zł. Wyrazisz uznanie za treści, które wykorzystasz w praktyce.
- Donacja 100 zł. Skorzystasz dodatkowo ze zniżki 500 zł na wybrany Kurs Cedum ®.
- Donacja 200 zł. Skorzystasz dodatkowo ze zniżki 1000 zł na wybrany Kurs Cedum ®.
- Donacja 400 zł. Skorzystasz dodatkowo ze zniżki 1500 zł na wybrany Kurs Cedum ®.
- Donacja 1000 zł. Skorzystaj z dwóch kursów w cenie jednego. Zyskujesz nawet 2.500 zł.
Autor: Tomasz Szczepański MD
Dla lekarzy KURS USG DOPPLER >
Dla pacjentów Badanie USG Doppler naczyń >
Zawartość serwisu cedum.pl jest chroniona prawem autorskim.
