USG Doppler tętnic

USG Doppler tętnic szyjnych i kręgowych

Umów badanie USG Doppler tętnic

Nowoczesna diagnostyka ultrasonograficzna

Kompleksowy zakres diagnostyki USG Doppler we Wrocławiu, w tym badanie USG tętnic szyjnych i kręgowych, USG tętnic kończyn górnych, USG tętnic kończyn dolnych, a także wysokospecjalistyczne badania USG Doppler przezczaszkowy, USG aorty brzusznej i tętnic biodrowych, USG tętnic trzewnych wykonać mogą Państwo w Interdyscyplinarnej Pracowni USG prowadzonej od 2011 r. przez dr Tomasza Szczepańskiego. W przypadku przejścia udaru mózgowego, pojawienia się zawrotów głowy, bólów w kończynach dolnych, czy wystąpienia objawów niedokrwiennych w innych obszarach organizmu służymy wiedzą, doświadczeniem oraz nowoczesną technologią.  Badania USG Doppler tętnic wykonujemy u dorosłych i u dzieci.

Obecnie Pracownia w trakcie reorganizacji i zmiany lokalizacji. Do momentu ponownego uruchomienia prosimy o umawianie wizyt za pośrednictwem portalu ZNANYLEKARZ > 

Tętnice i ich choroby

Czym są tętnice? Tętnice to naczynia krwionośne, którymi krew wypływa z serca i dociera do tkanek i narządów w organizmie. W tzw. krążeniu dużym tętnice transportują krew utlenowaną, a w krążeniu małym krew odtlenowaną w kierunku płuc. Zdrowe tętnice są okrągłymi w przekroju naczyniami o elastycznych ściankach, cienkim i gładkim śródbłonku; panuje w nich wyższe ciśnienie w porównaniu do naczyń żylnych. W związku z pełnioną zasadniczą funkcją, tj. transportem tlenu oraz substancji odżywczych do praktycznie wszystkich tkanek w ciele człowieka zdrowe tętnice są narządami warunkującymi długowieczność. Jak sprawdzić stan zdrowotny tętnic? W badaniu USG.

Choroby tętnic. Najczęstszą chorobą tętnic jest miażdżyca, która naturalnie i powoli rozwija się wraz z wiekiem, jednakże może ulec znacznemu przyspieszeniu i nasileniu pod wpływem takich czynników jak palenie papierosów, cukrzyca, zaburzenia lipidowe, czy nadciśnienie tętnicze. Rozwijająca się miażdżyca doprowadza do zwężeń naczyń tętniczych, a czasem nawet do ich zamknięcia wywołując objawy niedokrwienne. Przykładami ostrych chorób niedokrwiennych jest udar mózgowy oraz zawał serca. Z kolei przykładami przewlekłych zespołów związanych z miażdżycą są demencja, angina brzuszna i chromanie przestankowe. Inne choroby tętnic obejmują m. in. tętniaki, rozwarstwienia, zapalenia, czy zespoły podkradania, których cech poszukuje się w trakcie wykonywania badania USG Doppler tętnic. 

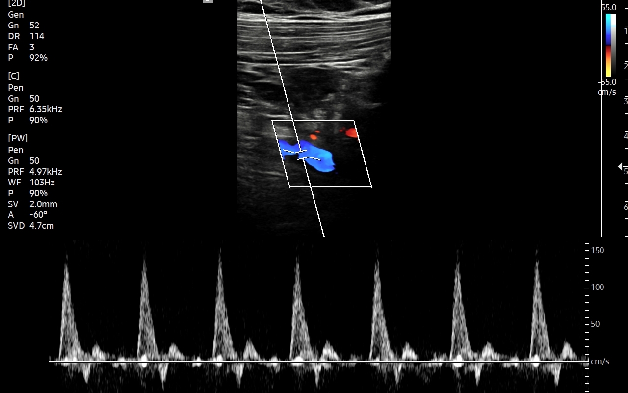
USG tętnic szyjnych i kręgowych

Badanie USG Doppler tętnic szyjnych i kręgowych, określane również jako badanie USG tętnic dogłowowych, to najczęściej wykonywane badanie diagnostyczne w układzie tętniczym. Wynika to z faktu, iż wymienione naczynia doprowadzają krew do jednego z najważniejszych organów człowieka, tj. mózgu, a choroby lokalizujące się w tętnicach dogłowowych mogą być źródłem różnorodnych objawów neurologicznych począwszy od zaburzeń pamięci i widzenia, poprzez bóle i zawroty głowy, aż do zgonu na tle nagłego udaru niedokrwiennego. W trakcie standardowego badania USG tętnic dogłowowych oceniane po obu stronach są tętnice szyjne wspólne, wewnętrzne, zewnętrzne oraz tętnice kręgowe. Badanie niejednokrotnie rozszerza się o specjalistyczną ocenę USG łuku aorty, USG tętnic podobojczykowych, USG tętnic skroniowych, czy o badanie USG Doppler przezczaszkowy. 

USG TCCD tętnic wewnątrzczaszkowych

Badanie USG Doppler tętnic wewnątrzczaszkowych (ang. TCCD, transcranial color-coded Doppler), nazywane także Dopplerem przezczaszkowym jest naturalnym rozszerzeniem i uzupełnieniem badania dopplerowskiego tętnic dogłowowych zewnątrzczaszkowych. Badanie polega na obrazowaniu przy użyciu dedykowanej sondy poprzez tzw. okno skroniowe czaszki głównych naczyń tętniczych mózgu, tj. koła Willisa, tętnic mózgowych przednich, środkowych i tylnych po obu stronach. Badanie TCCD umożliwia wykrycie wybranych wewnątrzczaszkowych patologii naczyniowych takich jak tętniaki, malformacje naczyniowe, zwężenia i niedrożności poszczególnych tętnic mózgowych, spazm naczyniowy, a także pozwala na ocenę kierunku przepływy krwi w kole Willisa mózgu, co  jest przydatne przy diagnostyce zespołu podkradania lub w ocenie po przebyciu udaru mózgowego.

USG tętnic kończyn górnych

Badanie USG tętnic kończyn górnych górnych wykonywane jest ze wskazań podobnych jak w przypadku kończyn dolnych, a dodatkowo w ramach diagnostyki zespołu górnego otworu klatki piersiowej, zespołu podkradania z tętnicy kręgowej, zespołu Takayasu, czy olbrzymiokomórkowego zapalenia tętnic (choroba Hortona). Z kolei urazowymi patologiami naczyń dłoni i palców są niedrożności tętnic występujące w przebiegu klasycznej choroby wibracyjnej, czy uprawiania wspinaczki skałkowej.

USG przetok dializacyjnych

Przetoka dializacyjna to chirurgicznie wytworzone połączenie tętniczo-żylne, które wykorzystywane jest do przewlekłego leczenia nerkozastępczego w formie hemodializy u pacjentów z niewydolnością nerek. Badanie USG Doppler jest podstawową metodą diagnostyczną oceniającą dojrzałość przetoki i jej gotowość do dializy, prawidłowość zespoleń naczyniowych, drożność przetoki oraz objętość przepływu minutowego. W Pracowni dr Tomasza Szczepańskiego zbadać można klasyczne przetoki tętniczo-żylne, jak również zaawansowane przetoki Humacyte ®. 

USG aorty i tętnic biodrowych

Badanie USG Doppler aorty brzusznej i tętnic biodrowych jest częścią standardowego USG jamy brzusznej. Nierzadko wykonywane jest jednakże jako badanie celowane w przypadku oceny tętniaków aorty brzusznej i tętniaków tętnic biodrowych, rozwarstwień aorty, zwężeń miażdżycowych występujących na podziale aorty lub w obrębie właściwych tętnic biodrowych. Funkcjonalne badanie aorty i tętnic biodrowych przeprowadza się także w ramach diagnostyki zaburzeń wzwodu i bólów zlokalizowanych w pośladkach. W pracowni dr Szczepańskiego zbadać można również w USG aortę piersiową w zakresie aorty wstępującej, łuku aorty i aorty zstępującej. Otóż należy mieć na uwadze, iż w obrębie aorty piersiowej lokalizować mogą się takie schorzenia jak tętniaki, rozwarstwienia, koarktacja aorty, czy choroby zapalne. 

USG tętnic kończyn dolnych

Badanie USG Doppler tętnic, klasyczne badanie angiograficzne oraz badanie angio-TK to podstawowe i uzupełniające się metody diagnostyczne naczyń. Badanie dopplerowskie w przeciwieństwie do dwóch pozostałych jest metodą oceny funkcjonalnej a nie tylko wizualnej, tzn. oprócz stopnia zwężenia tętnicy ocenia również zaburzenia przepływu w oraz za zwężeniem, a także zaburzenia ukrwienia dystalnego tkanek. 

Badanie USG Doppler tętnic kończyn dolnych wykonywane jest najczęściej w ramach diagnostyki miażdżycy zarostowej tętnic kończyn i jej objawów w postaci chromania przestankowego, czyli bolesności łydek, rzadziej ud i pośladków, pojawiających się w trakcie wysiłku fizycznego. Inne wskazania do USG tętnic kończyn dolnych obejmują uczucie chłodnych stóp, marznięcie nóg, diagnostykę zespołu zespół  Raynauda, czy choroby Buergera. W stanach nagłych badanie wykonuje się w przypadku ostrego niedokrwienia np. na tle obwodowej zatorowości tętniczej. Rzadsze patologie, które pojawiają się w obrębie tętnic kończyn dolnych to tętniaki prawdziwe, tętniaki rzekome (pseudotętniaki) i rozwarstwienia. Tętniaki rzekome są zwykle efektem powikłań jatrogennych nakłuć, a rozwarstwienia wynikiem urazów tętnicy, np. podczas uprawiania sportu.

Podczas wykonywania USG Doppler kończyn dolnych bada się osie tętnicze obu kończyn, które obejmują takie tętnice jak tętnica udowa wspólna, powierzchowna, głęboka, podkolanowa, tętnica piszczelowa przednia, tylna i tętnica strzałkowa. Ocenia się również ewentualne zwężenia oraz tzw. krążenie oboczne; poszukuje się cech zatorowości, zapalenia, rozwarstwienia i cech tętniaków.

USG Doppler tętnic przygotowanie

Zgłaszając się na badanie USG Doppler tętnic szyjnych i kręgowych (badanie USG Doppler tętnic dogłowowych), USG Doppler tętnic kończyn górnych lub USG Doppler tętnic kończyn dolnych wskazane jest założenie odzieży ułatwiającej sprawny dostęp do badanego obszaru. W przypadku badania naczyń dogłowowych nie należy zakładać na szyję łańcuszków, golfu lub bluzek z ciasnym kołnierzykiem. W przypadku badania USG kończyn górnych należy ubrać luźną koszulkę na ramiączkach, a w przypadku badania USG kończyn dolnych luźne majtki.

Badanie USG Doppler aorty, USG tętnic biodrowych, tętnic trzewnych (pień trzewny, tętnica śledzionowa, tętnica wątrobowa, tętnice krezkowe) wymaga przygotowania tożsamego jak do USG brzucha, tzn. na wizytę optymalnie należy zgłosić się rano oraz całkowicie na czczo, tj. bez rannego spożywania posiłków ani napojów. Na ok. 2 dni przed badaniem USG Doppler w obszarze brzucha zaleca się unikanie przejadania się, spożywania pokarmów wysokokalorycznych oraz słodyczy; nie wolno również spożywać kawy ani tzw. napojów energetycznych. Przyjmowanie Espumisanu nie jest obowiązkowe.

Pracownia USG dr Tomasza Szczepańskiego

Interdyscyplinarna Pracownia USG dr Tomasza Szczepańskiego to przełomowa instytucja na gruncie Polski i Europy. W ramach jej działania od 2011 r. wprowadzonych zostało do polskiej medycyny wiele innowacyjnych rozwiązań, w tym badania MPUS jamy brzusznej, USG wątroby z kontrastem CEUS, USG skóry i tkanek miękkich, USG twarzy, a także kompleksowy przegląd zdrowia realizowany przy użyciu zaawansowanego technologicznie sprzętu USG. Dr Szczepański umożliwił mieszkańcom Wrocławia i Dolnego Śląska dostęp do szerokiej gamy badań dopplerowskich, w tym badania USG tętnic obszaru całego ciała. Jako pierwszy w Polsce wykonał śródoperacyjne badanie CEUS przy operacji nerki. Sprawdź więcej:

USG Z KONTRASTEM CEUS >
USG DOPPLER PRZEPŁYWY WĄTROBOWE >
USG PRZEPŁYWY NERKOWE >
USG DOPPLER ŻYŁ > 
MPUS / USG PIERSI >
MPUS / USG SZYI >

Wykonujący badanie

USG żył Wrocław, USG Doppler żył Wrocław, USG Doppler żył kończyn dolnych Wrocław

Dr Tomasz Szczepański

Specjalista chorób wewnętrznych. Absolwent Akademii Medycznej we Wrocławiu z 2000 r. Certyfikowany lekarz Polskiego Towarzystwa Ultrasonograficznego z zakresu badań naczyniowych. Naukę badań Doppler tętnic rozpoczynał w Oddziale Chirurgii Naczyniowej w Wojewódzkim Szpitalu Specjalistycznym we Wrocławiu w 2001 r., a kontynuował w Pododdziale Kardiodiagnostyki w Klinice Chirurgii Serca Akademii Medycznej we Wrocławiu w 2002 r. W latach 2003 – 2005 r. prowadził pracownię dopplerowskich badań naczyniowych w Bogatyni. 

Posiada ponad 25-letni staż kliniczny i szkoleniowy w Polsce oraz zagranicą (Wielka Brytania, Niemcy, Austria, Włochy, Rumunia). Uczestnik prestiżowego Charing Cross Vascular Symposium w 2015 r. w Londynie. Wykonał ponad 40.000 badań USG. Od 2025 r. prowadzi Pracownię USG Doppler w Luxmed we Wrocławiu, w której przeprowadza nawet 350 badań miesięcznie.

Formularz kontaktowy

* pola oznaczone gwiazdką są obowiązkowe