USG przezciemiączkowe

USG główki dziecka, USG główki niemowlaka, USG główki niemowlęcia, USG główki noworodka, USG przezciemiączkowe, USG szwów czaszkowych, USG główki dziecka Wrocław, USG główki niemowlaka Wrocław, USG główki niemowlęcia Wrocław, USG główki noworodka Wrocław, USG przezciemiączkowe Wrocław, USG szwów czaszkowych Wrocław, USG główki dziecka Warszawa, USG główki niemowlaka Warszawa, USG główki niemowlęcia Warszawa, USG główki noworodka Warszawa, USG przezciemiączkowe Warszawa, USG szwów czaszkowych Warszawa, USG główki dziecka prywatnie, USG przezciemiączkowe prywatnie

USG przezciemiączkowe Wrocław

Nowoczesna diagnostyka ultrasonograficzna

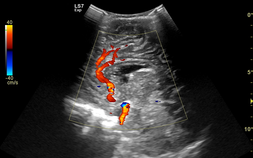
Kompleksowe badanie USG główki niemowlaka we Wrocławiu 3 w 1, w tym USG przezciemiączkowe mózgowia, USG Doppler naczyń mózgu oraz USG szwów czaszki wykonają Państwo u swoich Dzieci w prowadzonej od 2011 r. przez dr Tomasza Szczepańskiego Interdyscyplinarnej Pracowni Ultrasonograficznej. Służymy pomocą w razie konieczności oceny mózgu oraz czaszki noworodka i niemowlaka po przedwczesnych narodzinach, po powikłaniach okołoporodowych, w ramach oceny rozwoju ruchowego, przed szczepieniami ochronnymi, w przypadku zaburzeń symetrii czaszki, czy podejrzenia zespołów chorobowych uwarunkowanych genetycznie. Badania USG główki wykonujemy zarówno w ramach zaleceń szpitalnych, jak i skierowań od od neurologa, pediatry, czy lekarza rodzinnego.

Obecnie Pracownia w trakcie reorganizacji i zmiany lokalizacji; aktualnie prosimy o umawianie wizyt za pośrednictwem portalu ZNANYLEKARZ >

Czym jest USG przezciemiączkowe

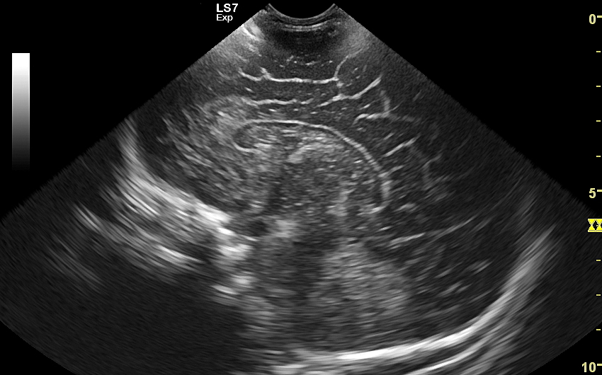
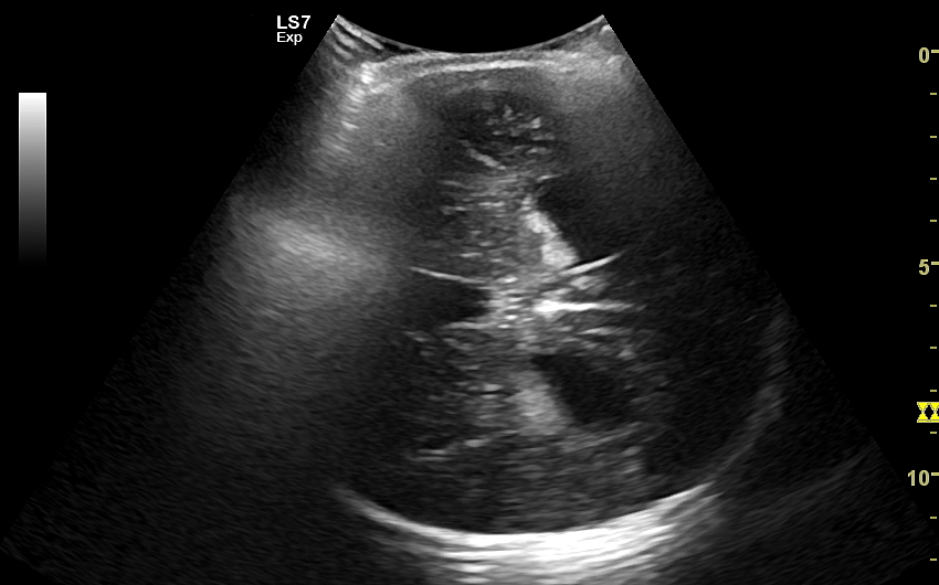
USG główki to podstawowa metoda diagnostyczna mózgu i struktur okołomózgowych u wcześniaków, noworodków i niemowląt. Badanie jest bezbolesne i nieryzykowne w porównaniu do rezonansu magnetycznego, podczas którego dziecko poddawane jest znieczuleniu ogólnemu. Przeprowadzenie szerokiego i szczegółowego badania USG główki jest możliwe aż do momentu zarośnięcia ciemiączka, czyli chrzęstnej struktury w pokrywie czaszki. Ze względu na cienką kość skroniową czaszki dziecka w późniejszym okresie możliwa jest wciąż częściowa ocena mózgowia w badaniu USG. Ambulatoryjne badanie USG przezciemiączkowe zwykle zalecane jest przez neonatologa, pediatrę lub neurologa dziecięcego w celu oceny mózgu wcześniaków, dzieci z małą masą urodzeniową, dzieci po epizodzie niedotlenienia lub krwawienia wewnątrzczaszkowego w trakcie porodu lub okresu noworodkowego, a także w przypadku wystąpienia drgawek, podejrzenia wady układu nerwowego, np. wodogłowia.

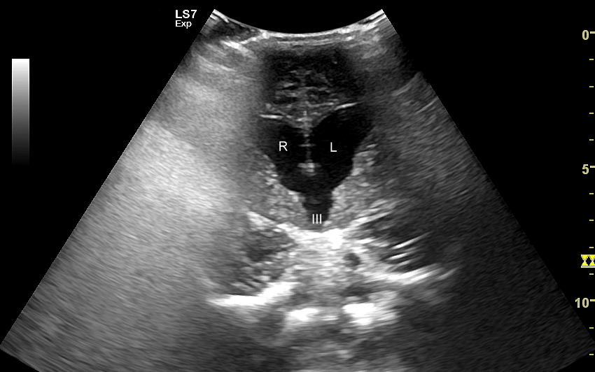
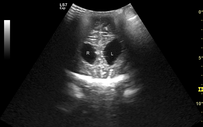
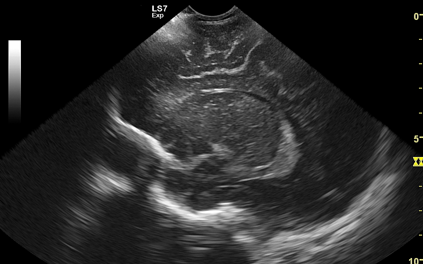
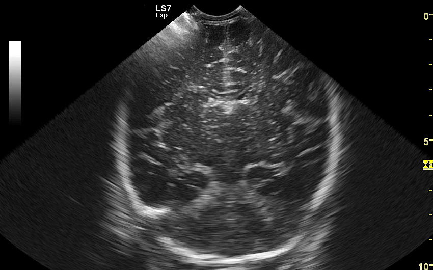
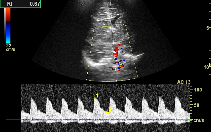
W USG główki dziecka oceniane są struktury wewnątrzczaszkowe, tj. mózg wraz z jego układem komór wewnętrznych, sploty naczyniówkowe, istota biała mózgu i obszary jąder podstawy mózgu, morfologia zakrętów i bruzd mózgowia, przestrzeń przymózgowa, a w trybach dopplerowskich wybrane naczynia tętnicze i żylne mózgu, w tym zatoki żylne. Oceniane są również cechy ciśnienia śródczaszkowego. W opisie badania podawane są również wymagane przez neurologa tzw. wskaźniki komorowe oraz wymiary wybranych struktur. 

Choroby mózgu niemowlaka

Badania USG mózgu dziecka wykonywane w warunkach szpitalnych i ambulatoryjnych różnią się od siebie charakterem stwierdzanych patologii. W szpitalu dominują ostre krwawienia wewnątrzczaszkowe oraz śródmózgowe. Z kolei najczęstszymi chorobami i stanami patologicznymi, które spotyka się w trakcie badania USG przezciemiączkowego przeprowadzanego w warunkach ambulatoryjnych są pozostałości po krwawieniach dokomorowych oraz śródmózgowych w postaci poszerzenia układu komorowego i torbieli; pozostałości po uszkodzeniach niedokrwiennych w postaci leukomalacji okołokomorowej i zaników mózgowych; poza tym zmiany pozapalne i wodogłowie wewnętrzne bądź zewnętrzne. Sporadycznie wykrywane są wady rozwojowe oraz guzy mózgu. 

Badanie USG służy również ocenie dojrzałości mózgowia dziecka; otóż mózg wcześniaka różni się od mózgu starszego niemowlęcia. U tego pierwszego obserwuje się m. in. mniej zaawansowane bruzdowanie kory mózgowej oraz warianty rozwojowe, z których najczęstszym jest jama przegrody przezroczystej. Zaburzenia rozwoju kory mózgowej u płodu, a potem u niemowlęcia, obserwowane są w przypadku palenia papierosów przez ciężarną lub spożywania przez nią alkoholu, w przypadku powikłań przebiegu ciąży, a także powikłań okołoporodowych.

USG główki z oceną szwów i powłok

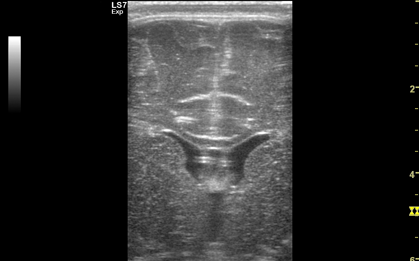
Poza strukturami wewnątrzczaszkowymi w badaniu USG główki niemowlaka oceniana jest pokrywa czaszki, w tym szwy i kości czaszkowe, tkanka podskórna oraz skóra głowy. Badanie USG szwów czaszkowych ma istotne znaczenie przy ocenie niesymetrycznego lub zdeformowanego kształtu głowy w kontekście rozpoznania kraniosynostozy (ang. craniosynostosis), tj. stanu, w którym dochodzi do przedwczesnego oraz nieprawidłowego zarastania szwów. W kraniosynostozie w miejscu zarastania tworzy się zwykle patologiczne twarde uwypuklenie / guz, które posiada charakterystyczny obraz sonograficzny pozwalający na rozróżnienie zarastania szwów w przebiegu kraniosynostozy od przedawkowania witaminy D, czy fizjologicznej wcześniejszej fuzji kości czaszki.

Patologiczne zarastanie szwów może być symetryczne lub niesymetryczne oraz dotyczyć jednego lub więcej szwów. W zależności od tejże konstelacji czaszka może przyjmować różnorodne formy deformacji w postaci scaphocefalii (syn. dolichocephalia, czaszka łódkowata / wydłużona w przebiegu zarośnięcia szwu strzałkowego), brachycefalii (krótkogłowie w przebiegu zarośnięcia obu szwów wieńcowych)trigonocefalii (trójkątnogłowie w przebiegu zarośnięcia szwu czołowego), plagiocefalii przedniej lub tylnej (skośnogłowie w przebiegu zarośnięcia jednego ze szwów wieńcowego lub węgłowego), turricefalii (syn. oxycefalia, czaszka wieżowata w przebiegu zarośnięcia szwów wieńcowych i któregoś z pozostałych), mikrocefalii (mała czaszka w przebiegu zarośnięcia wszystkich szwów) lub czaszki w kształcie liścia koniczyny (niem. kleeblattschädel). Sprawna diagnostyka deformacji czaszki ma wielkie znaczenie. Otóż kraniosynostoza jest potencjalnie niebezpieczna dla zdrowia, a nawet życia dziecka, a zwykle leczy się ją chirurgicznie. Z kolei częściej występująca łagodna deformacja w postaci plagiocefalii ułożeniowej wywołana jest zwykle tendencją do leżenia dziecka na wznak z główką skierowaną w jedną stronę, zwykle prawą; jest ona problemem bardziej estetycznymi aniżeli medycznym, a leczy się ją przy pomocy kasku oraz zaleceń rehabilitacyjnych. 

W obrębie powłok czaszki spotkać można również takie patologie jak naczyniaki, tłuszczaki, torbiele, czy potencjalnie niebezpeczne krwiaki podczepcowe. 

Historia USG główki niemowląt we Wrocławiu

Włączenie badań USG główki do portfolio diagnostycznego Interdyscyplinarnej Pracowni USG dr Tomasza Szczepańskiego wynikało z zupełnie przyziemnego powodu. Otóż na początku lat 2010 we Wrocławiu badanie USG główki wykonywało dosłownie kilku lekarzy. W związku z niedoborem kadry medycznej, a przy tym chcąc zapewnić optymalną opiekę swojej rodzinie oraz pacjentom Kliniki Golden Care ®, którą wówczas kierował dr Szczepański, rozpoczął on ekstensywne szkolenie w omawianym zakresie w Polsce i za granicą. W 2016 r. we Florencji pobierał nauczanie USG od światowych autorytetów w dziedzinie sonografii pediatrycznej, m. in. od Profesora Alana Danemana z Kanady, Profesora Michaela Ricabony z Austrii i dr Antonio La Torre z Włoch. 

Jednocześnie dr Szczepański jako pierwszy we Wrocławiu wprowadzał do diagnostyki USG dzieci sprzęt wówczas najwyższej dostępnej klasy; w 2012 r. był to aparat GE Logiq 7 Expert, a w 2022 r. aparat z przełomową technologią Samsung V8. Należy również podkreślić, iż poza klasycznym USG przezciemiączkowym dr Szczepański wprowadził do regularnego zastosowania rozszerzone badanie USG główki z oceną szwów czaszkowych, z obrazowaniem naczyń wewnątrzmózgowych Dopplera oraz tkanek miękkich pokrywy czaszki.

Przygotowanie do USG główki

Na krótko przed wizytą w gabinecie i przed wykonaniem USG główki niemowlaka zaleca się nakarmienie dziecka, co sprawi, że będzie ono spokojniejsze i odprężone, a przez sprawne przeprowadzenie badania będzie ułatwione. Rodzice proszeni są o zabranie smoczka, pieluszki lub kocyka, a także unikanie nadmiernego pobudzenia dziecka podczas badania, np. poprzez cmokanie. Pamiętać należy, że do badania USG przezciemiączkowego należy zapewnić dobry dostęp do główki niemowlęcia. W celu optymalnej interpretacji badania należy zabrać ze sobą ewentualne wcześniejsze wyniki badań USG główki dziecka, w szczególności, jeśli było ono wykonywane po narodzinach w szpitalu.

Rekomendacje

USG przezciemiączkowe Wrocław | USG zawsze wykonane z wielką dokładnością i starannością. Pan Doktor z dużą cierpliwością i wspaniałym podejściem do dziecka, które miało zaledwie kilka tygodni jak musiało być wykonane pierwsze USG główki. Sama USG jamy brzusznej dwukrotnie również robiłam u Pana Doktora i zawsze wszystko wytłumaczone, pokazane. Pan Doktor posiada ogromna wiedze i empatię. Zawsze dokładny i staranny w trakcie badania, jak w opisie. Agnieszka N. | Wrocław

USG główki niemowlaka Wrocław | Ponowna wizyta u doktora Szczepańskiego. Dziecko zbadane, rodzice uspokojeni. Wizyta przebiegła w miłej i spokojnej atmosferze, badanie wykonane było rzetelnie i profesjonalnie. Z całą pewnością polecamy. Joanna Cz. | Wrocław

 

USG przezciemiączkowe Wrocław | USG główki niemowlaka Wrocław | USG szwów czaszkowych Wrocław

Wykonujący badanie

USG żył Wrocław, USG Doppler żył Wrocław, USG Doppler żył kończyn dolnych Wrocław

Dr Tomasz Szczepański

Specjalista chorób wewnętrznych, jeden z kilku najbardziej doświadczonych lekarzy wykonujących badania USG w Polsce. Posiada ponad 25-letni staż kliniczny w kraju oraz za granicą (Wielka Brytania, Niemcy, Austria, Włochy, Rumunia). Z zakresu USG pediatrycznego, w tym USG główki noworodków i niemowląt, odbywał szkolenia w Polsce i we Włoszech. Certyfikowany lekarz Polskiego Towarzystwa Ultrasonograficznego z zakresu badań naczyniowych. Wykonał ponad 40.000 badań USG u dzieci i u dorosłych. Pionier wielu nowoczesnych zastosowań w diagnostyce ultrasonograficznej, m. in. badań USG z kontrastem (CEUS), USG twarzy, USG skóry, czy multiparametrycznych badań USG (MPUS). Na co dzień łączy metody diagnostyczne USG z oceną kliniczną swoich pacjentów.

Formularz kontaktowy

* pola oznaczone gwiazdką są obowiązkowe