USG ślinianek

USG ślinianek Wrocław

Umów badanie USG ślinianek

Nowoczesna diagnostyka ultrasonograficzna

Badanie USG ślinianek we Wrocławiu, a w razie potrzeby również rozszerzone badanie twarzy i tkanek szyi, wykonają Państwo w Interdyscyplinarnej Pracowni Ultrasonograficznej prowadzonej przez dr Tomasza Szczepańskiego od 2011 r. Służymy pomocą w przypadku potrzeby oceny ślinianek pod kątem zapalenia, kamicy, guzów, bądź zespołu suchości ust (zespołu Sjögrena), a także w razie konieczności oceny powiększonych węzłów chłonnych, czy pojawienia się jakichkolwiek guzków lub patologii w obszarze twarzy oraz szyi. Badania USG ślinianek wykonujemy u dzieci i u dorosłych. Konsultacje, diagnostykę USG i MPUS ślinianek oraz szyi u dr Szczepańskiego prosimy umawiać do Pracowni USG w następujących ośrodkach medycznych:

GINEMEDICA  ✆ +48 530 929 758
MEDFEMINA   ✆ +48 512 897 055
ENELMED Infinty > ✆ +48 660 307 007

O śliniankach i ich chorobach

Ślinianki są gruczołami występującymi w obrębie twarzoczaszki, których wydzielina, tj. ślina, ma za zadanie nadanie poślizgu kęsom przeżutego pożywienia, aby mogły się sprawnie przemieścić przez przełyk, a także rozpoczęcie trawienia pokarmu przy pomocy zawartych w ślinie enzymów. Wyróżnia się ślinianki przyuszne, podżuchwowe i podjęzykowe; wielokrotnie spotyka się również dodatkowe ślinianki w obrębie policzka lub pod błoną śluzową w jamie ustnej. 

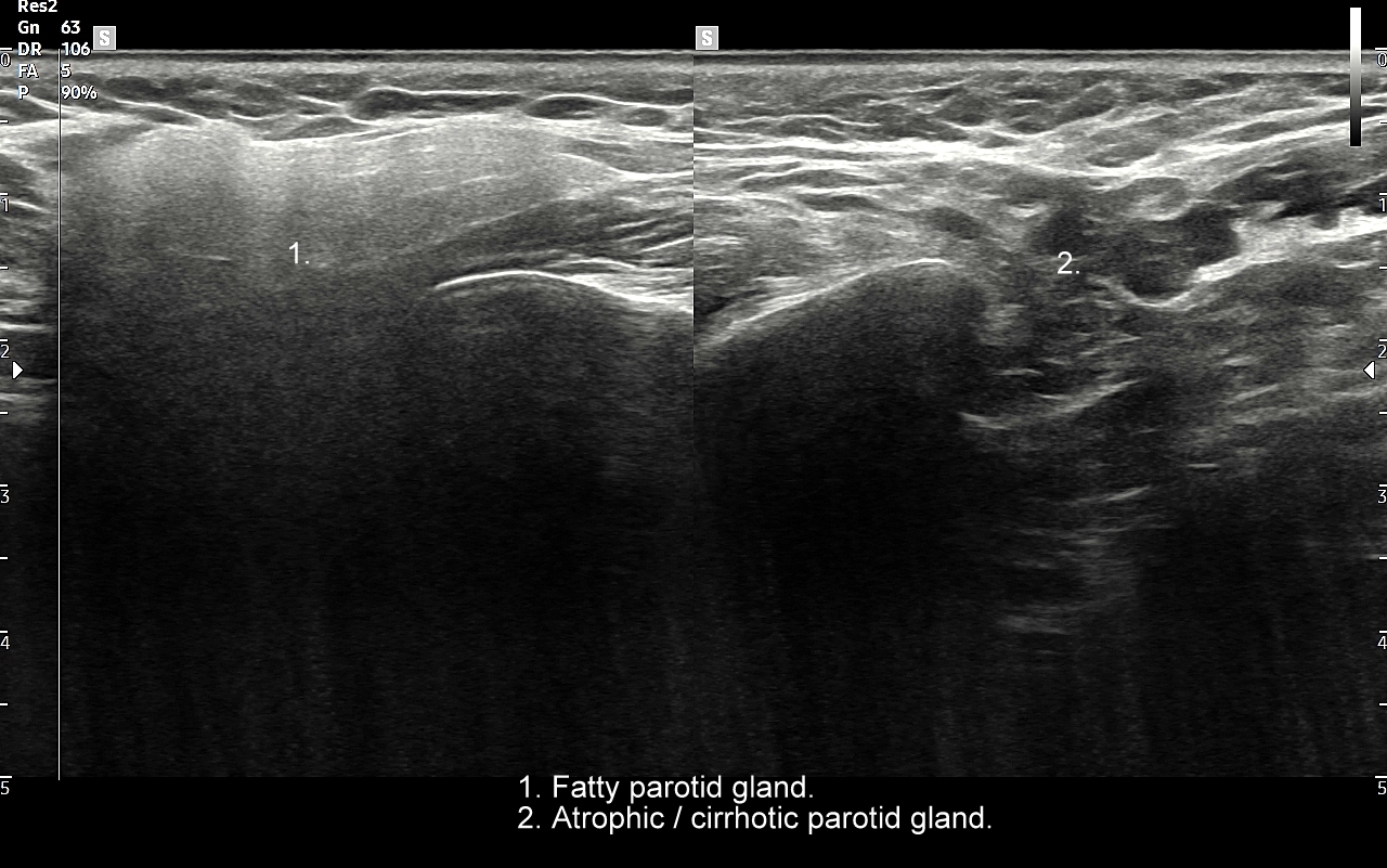
Ślinianki podlegają różnorodnym procesom chorobowym. Ostre stany zapalne wystąpić mogą w przebiegu infekcji wirusowych, których przykładem jest infekcja wirusem świnki (syn. nagminne zapalenie przyusznic). Z kolei przykładem zapalenia przewlekłego jest zespół suchości ust, czyli zespół Sjögrena. Stosunkowo częstym schorzeniem dotykającym ślinianki jest kamica (ang. sialolithiasis). W jej przebiegu dochodzić może do zablokowania odpływu śliny, obrzęku gruczołu, wystąpienia bólu, a nawet wtórnego zapalenia i zakażenia bakteryjnego. W śliniankach występować mogą również guzy nienowotworowe oraz guzy nowotworowe. 

Przykładami guzów nienowotworowych w śliniankach są odczynowe węzły chłonne i torbiele. Najczęstszymi nowotworami łagodnymi są gruczolak wielopostaciowy, zwany także guzem mieszanym (tzw. tumor mixtus) oraz gruczolak limfatyczny (tzw. guz Warthina) posiadający sonograficzne cechy nowotworu lito-torbielowatego. Guz mieszany jest zmianą wolno rosnącą z tendencją do miejscowej wznowy po zabiegu chirurgicznej resekcji. Z kolei guz limfatyczny, czyli guz Warthina, częściej występuje u palaczy papierosów, może być obustronny, a ze względu na swój histologiczny charakter może pojawić się po przebyciu infekcji górnych dróg oddechowych. Wśród nowotworów złośliwych dominują rak śluzowo-naskórkowy, gruczołowo-torbielowaty i gruczolakorak. Nowotwory ślinianek najczęściej umiejscawiają się w śliniance przyusznej, a większość z nich ma charakter łagodny. W przypadku nowotworów lokalizujących się w pozostałych śliniankach częściej spotyka się guzy złośliwe.

Czym jest USG ślinianek

Pacjenci ze skierowaniem na badanie USG ślinianek zgłaszają się do Pracowni zwykle w przypadku dolegliwości subiektywnych bądź obiektywnych zlokalizowanych w okolicy żuchwy i górnych partii szyi. Należy jednakże mieć na uwadze, że patologie umiejscowione w wymienionych obszarach nie zawsze odpowiadają chorobom ślinianek, a mogą dotyczyć np. węzłów chłonnych, migdałków, czy innych tkanek miękkich szyi. USG to podstawowe badanie obrazowe ślinianek. Jest procedurą bezpieczną i dokładną, a w Pracowni dr Szczepańskiego ślinianki oceniane są nowoczesną metodą MPUS (multiparametryczne USG) z zastosowaniem trybów mikrounaczynienia i elastografii. W przypadku konieczności oceny głębokich części ślinianek przyusznych albo zaplanowania operacji w obrębie szyi wykonuje się tomografię komputerową lub rezonans magnetyczny szyi. 

Przygotowanie do USG ślinianek

Do badania USG ślinianek nie jest potrzebne wyjątkowe przygotowanie, zalecamy jednakże o nałożenie odzieży nieutrudniającej dostępu do szyi, o niezakładanie biżuterii na szyję oraz o zabranie ze sobą poprzednich wyników badań w celu optymalnej interpretacji bieżącego badania USG ślinianek. Mężczyzn z zarostem twarzy prosimy o ogolenie się, gdyż zarost i włosy utrudniają penetrację fal ultradźwiękowych, a przez to poprawne obrazowanie narządów. W przypadku jednostronnego obrzęknięcia ślinianki przyusznej i podejrzenia świnki ze względów epidemiologicznych prosimy o stosowną informację podczas rezerwacji wizyty.

Pracownia USG dr Szczepańskiego

Interdyscyplinarna Pracownia USG dr Tomasza Szczepańskiego to przełomowa instytucja na gruncie Polski i Europy. W ramach jej działania od 2011 r. wprowadzonych zostało do polskiej medycyny wiele innowacyjnych rozwiązań, w tym badanie MPUS tarczycy, USG tarczycy z kontrastem CEUS, multiparametryczna ocena USG węzłów chłonnych oraz kompleksowy przegląd zdrowia realizowany przy użyciu zaawansowanego technologicznie sprzętu USG. Dr Szczepański, jako pierwszy we Wrocławiu, wprowadził do portfolio kompleksowe badania USG szyi u dzieci i u dorosłych, a także USG twarzy. Z wyjątkowych dokonań zawodowych należy wspomnieć również o tym, iż jako pierwszy w Polsce wykonał śródoperacyjne badanie CEUS przy operacji nerki. Sprawdź więcej:

USG TARCZYCY Z ELASTOGRAFIĄ > 
USG WĘZŁÓW CHŁONNYCH >
USG Z KONTRASTEM CEUS >
USG JAMY BRZUSZNEJ >
USG DOPPLER TĘTNIC >
USG DOPPLER ŻYŁ > 

Wykonujący badanie

USG żył Wrocław, USG Doppler żył Wrocław, USG Doppler żył kończyn dolnych Wrocław

Dr Tomasz Szczepański

Specjalista chorób wewnętrznych. Pionier nowoczesnej i zaawansowanej diagnostyki USG w Polsce. Dydaktyk i nauczyciel. Wprowadził do rutynowego zastosowania we Wrocławiu i w kraju takie badania jak multiparametryczne badania USG tarczycy i szyi, USG twarzy, badania USG z kontrastem, czy USG skóry. Posiada ponad 25-letnie doświadczenie kliniczne oraz staż szkoleniowy w Polsce oraz zagranicą (Wielka Brytania, Niemcy, Austria, Włochy, Rumunia). Certyfikowany lekarz Polskiego Towarzystwa Ultrasonograficznego z zakresu badań naczyniowych. Wykonał ponad 40.000 badań USG u dzieci i u dorosłych. Dr Szczepański zajmuje się zaawansowaną diagnostyką USG chorób ślinianek, węzłów chłonnych i tkanek szyi. 

Formularz kontaktowy

* pola oznaczone gwiazdką są obowiązkowe