USG echo serca

USG serca, USG serca Wrocław, echo serca Wrocław, echo serca prywatnie, echo serca Wrocław prywatnie, USG serca Wrocław prywatnie, USG serca Warszawa, echo serca Warszawa

USG serca Wrocław

Nowoczesna diagnostyka ultrasonograficzna


Badanie USG serca, którego polskim synonimem jest określenie echo serca, we Wrocławiu wykonają Państwo w Interdyscyplinarnej Pracowni USG prowadzonej od 2011 r. przez lekarza specjalistę dr Tomasza Szczepańskiego. Służymy pomocą w razie potrzeby oceny serca w przebiegu m. in. przewlekłej choroby niedokrwiennej, nadciśnienia tętniczego i nadciśnienia płucnego, wad zastawkowych, niewydolności i zaburzeń rytmu serca, kardiomiopatii, czy po prostu w ramach przeglądu zdrowia. Badania echo serca wykonujemy u dorosłych. Zapraszamy!

Obecnie Pracownia w trakcie reorganizacji i zmiany lokalizacji. Do momentu ponownego uruchomienia prosimy o umawianie wizyt za pośrednictwem portalu ZNANYLEKARZ > 

O chorobach serca

Schorzenia serca, jako część większej grupy chorób sercowo-naczyniowych, stanowią wiodącą przyczynę poważnych zachorowań oraz zgonów w populacji współczesnych krajów rozwiniętych. Najistotniejsze choroby kardiologiczne to choroba niedokrwienna i niewydolność serca. Najważniejszą jednostką choroby niedokrwiennej serca jest choroba wieńcowa (ang. coronary heart disease CHD) na tle miażdżycy, która to wywołuje zwężenia i niedrożności tętnic wieńcowych zaopatrujących serce w odżywczą krew. Przyczyn niewydolności serca jest z kolei wiele, a obejmują one m. in. nadciśnienie tętnicze, nadciśnienie płucne, wady zastawkowe, kardiomiopatie, czy zapalenia mięśnia serca. 

Objawy sugerujące choroby serca obejmują m. in. kołatanie serca, nierówną pracę serca, bóle w klatce piersiowej, duszność, zadyszkę, zmniejszoną tolerancję wysiłku, przewlekłe zmęczenie, obrzęki kończyn dolnych, kaszel. USG serca Wrocław wraz z badaniem EKG oraz badaniem EKG Holter stanowią trzon ambulatoryjnej diagnostyki kardiologicznej wspomnianych jednostek chorób serca.

Czym jest badanie echo serca

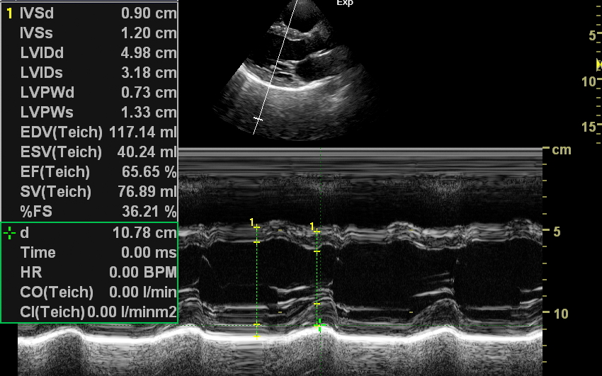
Badanie echokardiograficzne, nazywane także echo serca lub USG serca jest jedną z podstawowych metod diagnostyki kardiologicznej. W badaniu tym ocenia się zarówno morfologię narządu, jak i jego funkcję w postaci pomiarów wielkości jam serca, grubości mięśnia sercowego, czynności skurczowej oraz rozkurczowej lewej i prawej komory, oceny funkcji zastawek serca, wyglądu wsierdzia, osierdzia, a także w postaci pomiarów aorty, poszukiwania obecności patologicznych objawów sercowych związanych z chorobami innych narządów (np. choroby płuc, nadciśnienie tętnicze). 

Wskazania do badania USG serca są bardzo szerokie i obejmują diagnostykę bólów w klatce piersiowej, przyczyn zmniejszonej tolerancji wysiłku, przewlekłego zmęczenia, duszności, obrzęków kończyn dolnych i wodobrzusza, ocenę powikłań nadciśnienia tętniczego i zawału serca, diagnostykę zaburzeń rytmu serca, zatorów tętniczych, udaru mózgu, diagnostykę przewlekłego kaszlu, utraty masy ciała, gorączki i powikłań anginy gardła w obrębie zastawek serca.

USG serca przygotowanie i przebieg

W dniu badania USG serca nie należy spożywać herbaty, kawy, napojów energetycznych ani zażywać preparatów zawierających środki pobudzające, np. pseudoefedrynę. Zalecane jest także, aby dzień przed oraz w dniu wizyty nie spożywać nadmiernej ilości pokarmów ani napojów wysokosłodzonych, które mogłyby wzdymać brzuch i uciskać na przeponę. Ważne jest, aby zgłaszając się na badanie zabrać ze sobą dostępną dokumentację kardiologiczną w postaci kart informacyjnych ze szpitala, wyników wcześniejszych badań USG serca, Holtera EKG, a także posiadane zapisy EKG. W przypadku bujnego owłosienia klatki piersiowej wskazane jest jej ogolenie. Otóż włosy utrudniają penetrację ultradźwięków; ponadto w trakcie badania może zaistnieć potrzeba podłączenia elektrod do EKG. Podczas wykonywania echo serca pacjent pozostaje z odkrytą klatką piersiową.

Rekomendacje | USG serca Wrocław

USG serca Wrocław | Kochany Doktor, pomógł, wytłumaczył, pokierował wtedy, gdy zachorowałem ostro na serce. Ja i Rodzina przyjeżdżamy do Wrocławia na konsultacje i na USG zawsze, gdy potrzeba pomocy zaufanego i bardzo doświadczonego lekarza! Dziękuję i pozdrawiam:) Robert D. | Wrocław

Echo serca Wrocław | Bardzo miło i profesjonalnie. Pan doktor cierpliwie wysłuchał mojej historii choroby, przeprowadził wywiad. Przed wykonaniem badania wszystko mi wytłumaczył i na koniec dał zalecenia co do dalszego leczenia. Joanna S. | Wrocław

Echo serca Wrocław | Als Ausländer ohne Polnischkenntnisse ist es schwer einen guten Arzt zu finden, der deutsch oder englisch spricht. Glücklicherweise fand ich Golden Care (okres, gdy Kliniką kierował dr Szczepański) in Breslau. Ich bekam sofort telefonisch einen Termin wegen meiner Herzprobleme und wurde zuerst von einem Herzspezialisten betreut und im nächsten schritt von einem weiteren Spezialisten Dr. Szczepanski, der eine Komplettuntersuchung machte. Beide nahmen sich sehr viel Zeit, um alle Fragen zu beantworten und mir die Ergebnisse zu erklären – das war sehr viel besser als in Deutschland, wo man im Eiltempo abgefertigt wird. Hans P. | Niemcy


USG serca Wrocław | Echo serca Wrocław

Wykonujący badanie

USG żył Wrocław, USG Doppler żył Wrocław, USG Doppler żył kończyn dolnych Wrocław

Dr Tomasz Szczepański

Specjalista chorób wewnętrznych z wieloletnią praktyką kardiologiczną i naczyniową. Szkolenie USG serca odbywał w Pododdziale Kardiodiagnostyki w Klinice Chirurgii Serca Akademii Medycznej we Wrocławiu. Jeden z najbardziej doświadczonych sonografistów w Polsce. Posiada ponad 25-letni staż kliniczny i szkoleniowy w Polsce oraz zagranicą (Wielka Brytania, Niemcy, Austria, Włochy). Wykonał ponad 40.000 badań USG. Wprowadził do rutynowego zastosowania w Polsce takie procedury diagnostyczne jak USG z kontrastem (CEUS) oraz multiparametryczne badania USG (MPUS). Certyfikowany lekarz Polskiego Towarzystwa Ultrasonograficznego z zakresu badań naczyniowych. Na co dzień dr Szczepański zajmuje się przeglądami zdrowia oraz specjalistyczną diagnostyką z zakresu chorób wewnętrznych i serca.

Formularz kontaktowy

* pola oznaczone gwiazdką są obowiązkowe